症例紹介
ホーム » 症例紹介
歯並びや咬み合わせの悩みは人それぞれですが、多くの方に共通するお悩みがあります。今回は当院で実際にご相談いただいた症例を紹介します。
目次
小児矯正(顔育矯正)
子どもの歯並びや咬み合わせには「出っ歯」「受け口」「スペース不足」など、成長期に多いお悩みがあります。ここでは当院で行った小児矯正(顔育矯正)の症例をご紹介します。
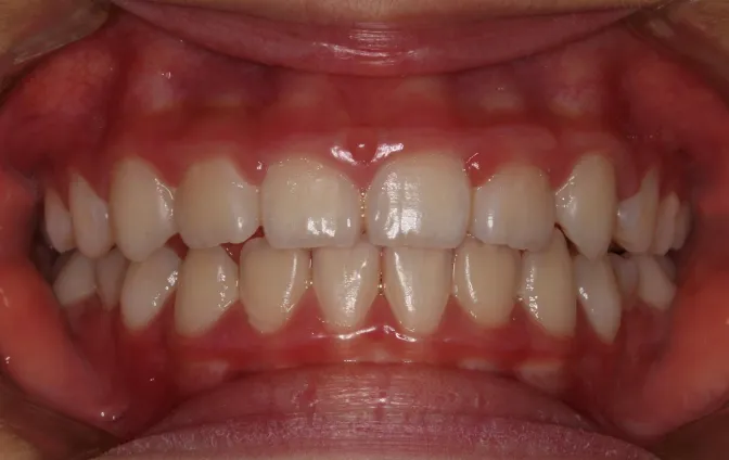
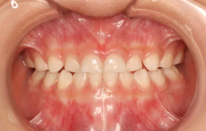
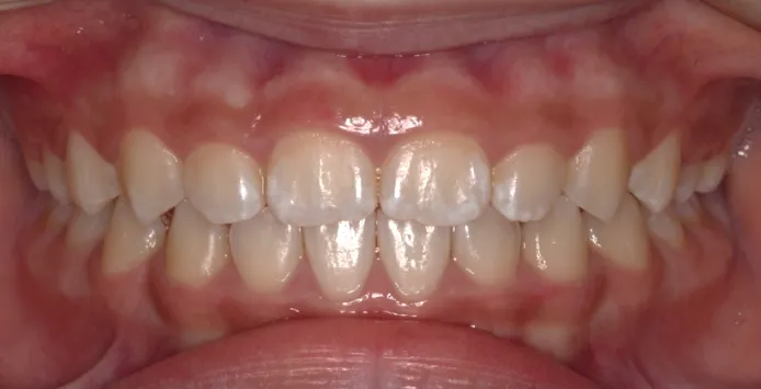
咬み合わせが深い
CASE 01
治療の概要
| 年齢・性別 | 9歳女性 |
|---|---|
| 治療内容 | 拡大・マイオブレースの治療 |
| 治療期間 | 2年4ヶ月 |
| 費用 | 480,000円(税抜) |
| リスク・注意点 | ・治療開始数日〜1,2週間は矯正装置着用による不快感や痛みを感じる場合があります。 ・装置の使用状況、アクティビティの実施有無(※主に顔育矯正の場合)、定期的な通院など患者様協力が不可欠です。実施いただけない場合、治療期間が想定よりも長引く場合があります。 ・治療中は、装置の着用により虫歯,歯周病のリスクが高まりますので、丁寧な歯磨きと定期的なメンテナンスが大切になります。 ・まれに歯を動かすことで歯根が吸収して短くなったり、歯肉が下がったりすることがあります。 ・まれに歯が骨と癒着していて歯が動かなくなったり、歯の神経が障害を受けたりすることがあります。 ・まれに矯正装置の着脱時に歯の一部や補綴の一部が破損することがあります。 ・治療終了後、保定装置を使用しないと後戻りする場合があります。(※顔育矯正の場合は、基本的に保定装置の着用はありません) ・矯正治療を実施した後は、元の状態に戻すことは難しくなります。(可逆性の低い治療のため) |
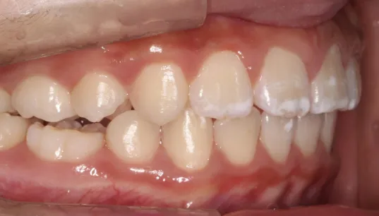
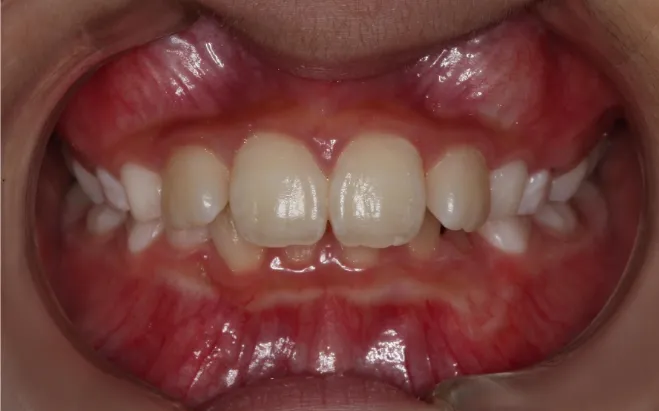
CASE 02
治療の概要
| 年齢・性別 | 7歳女性 |
|---|---|
| 治療内容 | 拡大・マイオブレースの治療 |
| 治療期間 | 2年3ヶ月 |
| 費用 | 350,000円(税抜) |
| リスク・注意点 | ・治療開始数日〜1,2週間は矯正装置着用による不快感や痛みを感じる場合があります。 ・装置の使用状況、アクティビティの実施有無(※主に顔育矯正の場合)、定期的な通院など患者様協力が不可欠です。実施いただけない場合、治療期間が想定よりも長引く場合があります。 ・治療中は、装置の着用により虫歯,歯周病のリスクが高まりますので、丁寧な歯磨きと定期的なメンテナンスが大切になります。 ・まれに歯を動かすことで歯根が吸収して短くなったり、歯肉が下がったりすることがあります。 ・まれに歯が骨と癒着していて歯が動かなくなったり、歯の神経が障害を受けたりすることがあります。 ・まれに矯正装置の着脱時に歯の一部や補綴の一部が破損することがあります。 ・治療終了後、保定装置を使用しないと後戻りする場合があります。(※顔育矯正の場合は、基本的に保定装置の着用はありません) ・矯正治療を実施した後は、元の状態に戻すことは難しくなります。(可逆性の低い治療のため) |
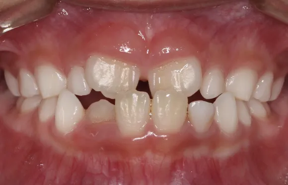
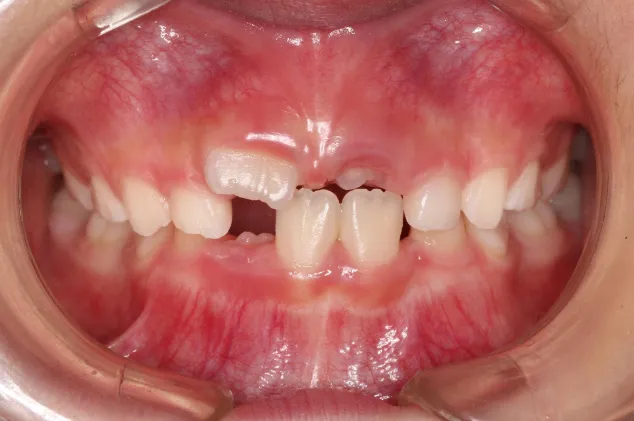
永久歯のスペース足りない、ガタガタ
CASE 01
治療の概要
| 年齢・性別 | 7歳男性 |
|---|---|
| 治療内容 | 拡大・マイオブレースの治療 |
| 治療期間 | 2年1ヶ月(写真は術後4年目) |
| 費用 | 480,000円(税抜) |
| リスク・注意点 | ・治療開始数日〜1,2週間は矯正装置着用による不快感や痛みを感じる場合があります。 ・装置の使用状況、アクティビティの実施有無(※主に顔育矯正の場合)、定期的な通院など患者様協力が不可欠です。実施いただけない場合、治療期間が想定よりも長引く場合があります。 ・治療中は、装置の着用により虫歯,歯周病のリスクが高まりますので、丁寧な歯磨きと定期的なメンテナンスが大切になります。 ・まれに歯を動かすことで歯根が吸収して短くなったり、歯肉が下がったりすることがあります。 ・まれに歯が骨と癒着していて歯が動かなくなったり、歯の神経が障害を受けたりすることがあります。 ・まれに矯正装置の着脱時に歯の一部や補綴の一部が破損することがあります。 ・治療終了後、保定装置を使用しないと後戻りする場合があります。(※顔育矯正の場合は、基本的に保定装置の着用はありません) ・矯正治療を実施した後は、元の状態に戻すことは難しくなります。(可逆性の低い治療のため) |
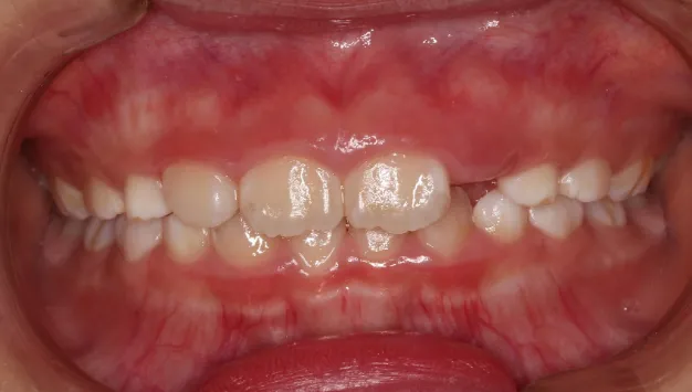
出っ歯
CASE 01
治療の概要
| 年齢・性別 | 8歳女性 |
|---|---|
| 治療内容 | 拡大・マイオブレースの治療 |
| 治療期間 | 2年3ヶ月 |
| 費用 | 480,000円(税抜) |
| リスク・注意点 | ・治療開始数日〜1,2週間は矯正装置着用による不快感や痛みを感じる場合があります。 ・装置の使用状況、アクティビティの実施有無(※主に顔育矯正の場合)、定期的な通院など患者様協力が不可欠です。実施いただけない場合、治療期間が想定よりも長引く場合があります。 ・治療中は、装置の着用により虫歯,歯周病のリスクが高まりますので、丁寧な歯磨きと定期的なメンテナンスが大切になります。 ・まれに歯を動かすことで歯根が吸収して短くなったり、歯肉が下がったりすることがあります。 ・まれに歯が骨と癒着していて歯が動かなくなったり、歯の神経が障害を受けたりすることがあります。 ・まれに矯正装置の着脱時に歯の一部や補綴の一部が破損することがあります。 ・治療終了後、保定装置を使用しないと後戻りする場合があります。(※顔育矯正の場合は、基本的に保定装置の着用はありません) ・矯正治療を実施した後は、元の状態に戻すことは難しくなります。(可逆性の低い治療のため) |
受け口、スペース足りない
CASE 01
治療の概要
| 年齢・性別 | 7歳男性 |
|---|---|
| 治療内容 | 拡大・マイオブレースの治療 |
| 治療期間 | 1年9ヶ月 |
| 費用 | 450,000円(税抜) |
| リスク・注意点 | ・治療開始数日〜1,2週間は矯正装置着用による不快感や痛みを感じる場合があります。 ・装置の使用状況、アクティビティの実施有無(※主に顔育矯正の場合)、定期的な通院など患者様協力が不可欠です。実施いただけない場合、治療期間が想定よりも長引く場合があります。 ・治療中は、装置の着用により虫歯,歯周病のリスクが高まりますので、丁寧な歯磨きと定期的なメンテナンスが大切になります。 ・まれに歯を動かすことで歯根が吸収して短くなったり、歯肉が下がったりすることがあります。 ・まれに歯が骨と癒着していて歯が動かなくなったり、歯の神経が障害を受けたりすることがあります。 ・まれに矯正装置の着脱時に歯の一部や補綴の一部が破損することがあります。 ・治療終了後、保定装置を使用しないと後戻りする場合があります。(※顔育矯正の場合は、基本的に保定装置の着用はありません) ・矯正治療を実施した後は、元の状態に戻すことは難しくなります。(可逆性の低い治療のため) |
受け口
CASE 01
治療の概要
| 年齢・性別 | 3歳女性 |
|---|---|
| 治療内容 | 拡大・マイオブレースの治療 |
| 治療期間 | 10ヶ月 |
| 費用 | 100,000円(税抜) |
| リスク・注意点 | ・治療開始数日〜1,2週間は矯正装置着用による不快感や痛みを感じる場合があります。 ・装置の使用状況、アクティビティの実施有無(※主に顔育矯正の場合)、定期的な通院など患者様協力が不可欠です。実施いただけない場合、治療期間が想定よりも長引く場合があります。 ・治療中は、装置の着用により虫歯,歯周病のリスクが高まりますので、丁寧な歯磨きと定期的なメンテナンスが大切になります。 ・まれに歯を動かすことで歯根が吸収して短くなったり、歯肉が下がったりすることがあります。 ・まれに歯が骨と癒着していて歯が動かなくなったり、歯の神経が障害を受けたりすることがあります。 ・まれに矯正装置の着脱時に歯の一部や補綴の一部が破損することがあります。 ・治療終了後、保定装置を使用しないと後戻りする場合があります。(※顔育矯正の場合は、基本的に保定装置の着用はありません) ・矯正治療を実施した後は、元の状態に戻すことは難しくなります。(可逆性の低い治療のため) |